心臓の検査って何するの?

心臓の検査は怖い?
心臓の検査と聞くと、
何をするのか分からないし、怖い
という感覚をお持ちの方も多いですよね。
心臓の検査といっても、実は
簡単なものも多いんです。
このサイトでは、2020年代の現在、
心臓の診療で使われている
検査で、画像検査に分類される
ものを中心に解説しています。
このサイトで対象としている方々
このサイトでは
上記の方々に心臓の検査についての情報を提供し、
不安をすこしでも払拭したり、概要をつかんで頂くことを
第一の目的としています。
心臓の画像の専門家として、特定の医療機関とは離れた
立ち位置で書いています。
心臓の検査について情報提供している従来のサイトは
主に医療機関であり、その医療機関で実施できる検査を
主体に内容が書かれることが多いため、そのような条件を
除いて書くことで、新たな角度の情報提供ができればと
思います。
一般の方向けのページは分かりやすさに重点を置いているため、
最先端の技術や、高度に専門的な視点からは
不十分な内容もあるかと思いますが、細かい点はご容赦ください。
医学生・研修医向けの内容は別のページを設けています。
また、循環器内科学領域の検査のすべては
完全に網羅していないのでご了承ください。
特に
・不整脈
・侵襲的な手法による検査(カテーテル検査)
などについては、あまり多く記載していませんので
他の専門的な情報もご参照ください。

心臓の検査一覧表
| 種類 | 説明 |
| 心電図(しんでんず) | 不整脈(ふせいみゃく)や狭心症(きょうしんしょう)・心筋梗塞(しんきんこうそく)の兆候、心筋症(しんきんしょう)といった心臓の病気を見つけます。 |
| 血液検査 | 採血して調べる検査です。心不全の指標のBNP (ビー・エヌ・ピー)などの検査項目があります。 |
| 胸部レントゲン | 肺を調べるレントゲンですが、心臓の大きさなどもわかり、心臓の異常の発見につながります。 |
| 心エコー | 超音波(ちょうおんぱ)を使う検査です。横になって機械を当てるだけの簡単な検査です。 |
| カテーテル検査 |
現在では単に診断目的で行うより、治療を前提として実施することが多くなっています。 |
| CT(シーティー) | 冠動脈(かんどうみゃく)CTとも呼ばれ、心臓の大事な血管である冠動脈を調べます。X線を使います。 |
| MRI(エム・アール・アイ) | 心臓の筋肉の病気を発見するのが得意な検査です。X線を使わない検査です。 |
| 心筋(しんきん)シンチ | 主に狭心症や心筋梗塞を調べる検査で、心臓の筋肉の血流を撮影します。造影剤は使いません。 |
心電図・血液検査・
胸部レントゲン・心エコーは、
大きな病院でなくてもできる検査です。
心電図
健診でおなじみの検査ですが、
心臓を調べる基本の検査の一つです。
病気としては不整脈(ふせいみゃく)をのほかに、
狭心症・心筋梗塞、心筋症(しんきんしょう)
といった病気を調べる手がかりになります。
通常の心電図は横になって
電極をつけて数分でおわります。
↓運動負荷心電図(トレッドミル運動負荷試験)
運動しながら心電図を調べる検査です。
↓ホルター心電図
小型の心電計を装着し
24時間の心電図を調べます。
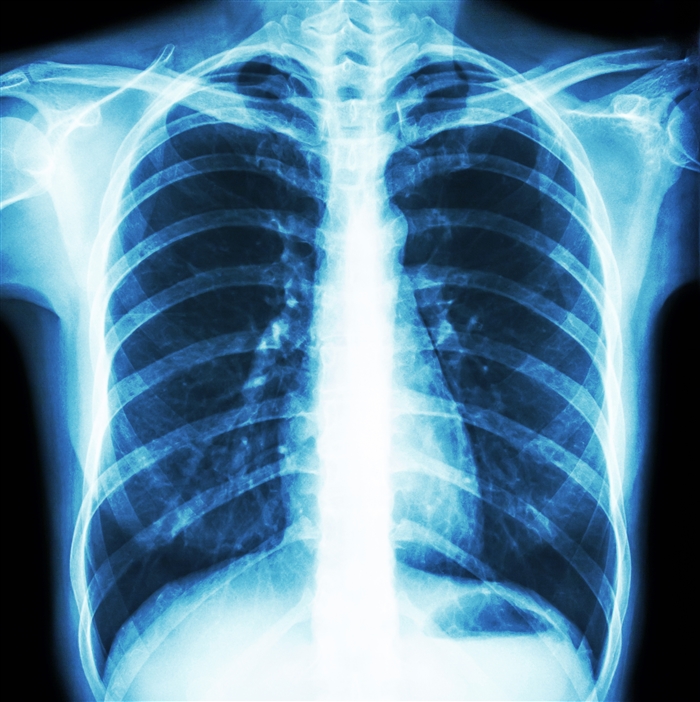
胸部レントゲン
健診でおなじみの簡単な検査ですが、
肺だけではなく
心臓の異常や大動脈の異常など、
様々な病気の診断に役立ちます。
血液検査
一般的な定期健康診断では、
心臓を調べる項目は通常調べませんが、
BNP (ビーエヌピー)や、
NT-proBNP (エヌティー・プロ・ビーエヌピー)
といった項目を調べることで、
心不全の兆候や病気の程度を調べる
ことができます。
カテーテル検査
手首や足の付け根(そけい部)などから
動脈にカテーテルを入れて行う検査です。
心臓の筋肉に血液を送る
冠動脈(かんどうみゃく)を調べます。
緊急を要する急性心筋梗塞などで
必須の検査です。
詰まった血管を治療するときにも
カテーテルが使われます。

↓カテーテル検査で撮影した心臓の冠動脈(かんどうみゃく)
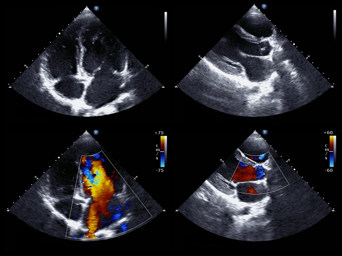
心エコー

心エコー
現在心臓の画像検査では
基本的な検査の一つです。
↑写真のように
横になって機械を当てるだけの
簡単な検査ですが、
心臓の動き・形・弁膜症の有無や
その他の心臓の病気を
見つけるための重要な検査です。
心エコーの費用
9000円かかりますが、保険の1割〜3割負担で
900円〜2700円前後になります。
心臓CT
心臓CTはこんな機械で撮影します

心臓CTでわかること
冠動脈CTとも呼ばれるように、
狭心症や心筋梗塞の原因となる
冠動脈の動脈硬化をみつける
ことができます。
動脈硬化が強い部位では石灰化(せっかいか)
といって、血管にカルシウムがつきます。
下の画像では血管が特に白くなっている
部位が石灰化です。
↓心臓CTで撮影した冠動脈(かんどうみゃく)。動脈硬化で血管についたカルシウムが白くみえます。
↓こちらも心臓CTで撮影した画像。まるで心臓を取り出したかのような立体的で詳しい画像がとれます。
心臓MRI
心臓MRIはこんな機械で撮影します

心臓MRIでわかること
心臓の筋肉の病気である
心筋症(しんきんしょう)の有無や
心臓の動き・形の異常を発見できます。
心臓のポンプ機能の異常である
心不全や不整脈の原因
を詳しく調べるのに役立ちます。
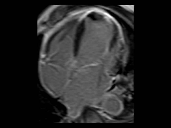
↓実際の心臓MRIの画像。心エコーよりもさらに詳しく心臓をみることができます。
心筋シンチ
心筋シンチはこんな機械で撮影します

心筋シンチグラフィ、心筋スペクト
とも呼ばれます。
心筋シンチでわかること
心臓は全身に血液を送るポンプです。
このポンプの役割をするのは
心臓の筋肉です。
心筋シンチではこの筋肉に流れる
血液の流れを画像化します。
主に狭心症・心筋梗塞の診断や、
心筋梗塞でできた傷の範囲がわかります。
心臓の動きの評価もできます。
↓実際の心筋シンチの画像。 心臓の左心室の筋肉の血のめぐりの悪いところを見つけます。
↓心筋シンチでは、心臓の左心室の動きを計測することもできます。
心臓画像検査の比較
狭心症・心筋梗塞の検査の比較
| CT | 心筋シンチ | MRI | |
| 検査時間 (総拘束時間) | 15-30分程度 | 90分〜4時間 | 1時間程度 |
| 造影剤の使用(ヨード・ガドリニウム) | あり | なし | あり |
| 腎臓機能が低下している人への影響 | あり | なし | あり |
| 冠動脈の診断 | ◎ | x | ○ |
| 狭心症の程度の評価 | ○ | ◎ | ○ |
| 心筋梗塞の評価 | ○ | ◎ | ◎ |
| 費用 | ↑ | ↑↑ | ↑ |
検査時間
CTは冠動脈CTとして行うならば、
10分〜15分程度で終わる検査です。
心臓の血流を撮影したりする場合は
CTでも検査時間が長くなります。
心筋シンチの撮影は、通常2回に分けて
行われ、撮影時間は
1回あたり20-30分前後かかります。
1回目と2回目の撮影は時間を空けて
行う必要があるため、途中の
休憩60分〜3時間前後を含めて
総検査時間は90分〜4時間程度
になります。
心臓MRIは機械の中でずっと仰向けに
なった状態で撮影する検査ですが、
検査の撮影時間は内容にもよりますが、
30-40分前後から1時間弱かけて
撮影する検査です。
検査の費用
心臓CTは4万円〜4万5千円で、
健康保険の3割負担で1万5千円前後
かかります。
心臓MRIは3万円前後かかります。
保険の3割負担で1万円前後かかります。
心筋シンチは一般的に3割負担で
3万円弱かかりますが、
撮影する内容や施設の装置によって、
費用は安くなることがあります。
造影剤の使用
CTはヨード造影剤、MRIはガドリニウム造影剤、
心筋シンチでは上記の造影剤は使いません。
腎臓への影響
CT、MRIでは造影剤を使うため、
腎機能が低下した人には
検査を行えない場合があります。
冠動脈の診断
冠動脈を映し出す撮影は
CT、MRIで可能ですが、
CTの方が撮影した画像が
より鮮明です。
狭心症の程度の評価
狭心症の診断は、
心臓の筋肉の血流の程度を診断する
ことが重要です。
CT, MRI, 心筋シンチいずれの方法でも
診断することが技術的にできる様になりましたが、
比較的歴史があって普及している方法としては
心筋シンチが挙げられます。
心筋梗塞の判定
急性心筋梗塞を最初に発症した時点では、
治療が必要なため
緊急カテーテル検査が必須です。
全身状態が安定してから行う検査としては
MRI、心筋シンチがよく使われます。
ある程度時間がたった心筋梗塞や
重症度の高い心筋梗塞では、
CTでも心筋梗塞の痕跡を
みることができます。
- (2020/06/23)心臓CT 冠動脈以外の検査を更新しました
- (2020/06/02)プライバシーポリシーを更新しました
- (2020/06/02)心エコーを更新しました
- (2020/05/26)造影剤を使う検査を更新しました
- (2020/05/18)狭心症・心筋梗塞を更新しました



