冠動脈CTの診断能

このページでは、冠動脈CTの要点を
まとめる形で記載しています。
内容は順次拡充に努めて参ります。
あくまで基礎知識の導入
としてお使いください。
冠動脈CTの最大の特徴 高い陰性的中率
↓CTで撮影した正常な冠動脈
冠動脈CTによる冠動脈狭窄度診断において
最も特徴的な性能は、
高い陰性的中率です。
つまり、正常なものを正常と診断する
性能が優れているのです。
逆に陽性的中率は陰性的中率ほどは高くありません。
臨床的に期待されている冠動脈CTの役割として
虚血性心疾患の検査前確率があまり高くない
人に対して、陰性的中率に期待して
検査を実施するケースが考えられます。
↓64列CTによる冠動脈狭窄(>50%) の診断精度
| 感度(%) | 特異度(%) | 陽性的中率(%) | 陰性的中率(%) |
| 89 | 96 | 78 | 98 |
参考文献: Schroeder et al. Eur Heart J 2008; 29: 531
冠動脈CTの予後予測能
冠動脈 脆弱性プラークの診断
冠動脈CTでは、冠動脈内腔の狭窄度診断だけでなく、
冠動脈の血管壁の外側の様子もみることができます。
予後予測において重要なのは、急性冠症候群(ACS)を
発症する危険性のある、
脆弱性プラーク (vulnerable plaque)を見つけることです。
血管内超音波(IVUS)やOCTといった侵襲的な方法は、
きわめて高い解像度によって、
冠動脈病変の病理学的な実像にせまる精査はできますが、
検査の実施コストや侵襲度を考慮すると、ACSを発症する前の
精査として行うには限界があります。
一方冠動脈CTやMRIを含む非侵襲的な検査では、
そうした冠動脈のハイリスクプラークを見つける検査
として適しています。
動脈硬化が進展するプロセスの初期においては、
CTやMRIでは描出できない段階もありますが、
AHA type V病変のアテローム性動脈硬化の
所見として重要な
・Necrotic core
・TCFA (thin-cap- fibroatheroma)を伴う
プラーク病変が脆弱性プラークと呼ばれる段階
です。
冠動脈CT画像による診断において重要な
脆弱性プラークの代表的な所見は、
以下の通りです。
陽性リモデリング
低CT値プラーク
napkin ring sign
これらの特徴を多くもつ病変ほど、
ACSの発症が多いことが報告されています。

参考文献:
Saremi F. and Ahenbach S. AJR 2015; 204:W249-W260
DOI:10.2214/AJR.14.13760
Otsuka K, Fukuda S, Tanaka A, et al. Napkin-ring
sign on coronary CT angiography for the prediction
of acute coronary syndrome. JACC Cardiovasc
Imaging 2013; 6:448?457
冠動脈CTで画質を確保する上で重要なこと
近年多用されている冠動脈CTですが、
診断的有用性や便利さを実現するためには
画質を担保して確実な診断能を得ることが重要です。
心臓CTの画質低下とその原因はいろいろあります。
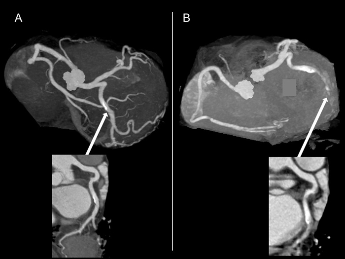
高心拍数による画質低下
A: HR <65/min で撮影. B: HR >90 /minで撮影.
上の画像ではAが撮影時の理想的な心拍数 65/分以下で撮影した画像で、Bが心拍数 90/分以上で
撮影した画像で、同じ人の別な時期に撮影した画像ですが, 矢印で示した回旋枝の画像が、Bでは
狭窄度の診断が困難なほど画質が低下しています。
冠動脈CTの診断能確保のためには、理想的な心拍数を確保するため、内服または注射のβ遮断薬を
使用します。
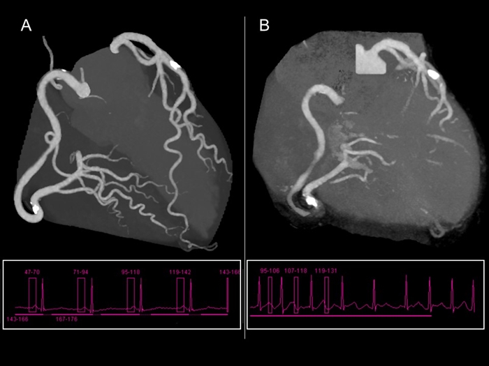
不整脈
A: 洞調律時に撮影. B: 心房細動時に撮影
不整脈も冠動脈CTの画質低下の要因の1つです。 AとBはいずれも同じ人の冠動脈CT画像ですが,
Bの心房細動時の撮影では画質が低下しています。
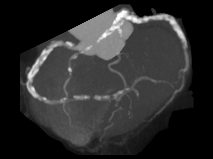
息止め不良
息止め不良による階段状アーチファクト(64列CTによる撮影)
撮影時の息止め不良も大きなアーチファクトの原因となります。
特に64列CTでは5心拍程度の時間で撮影しますので、このようなアーチファクトが出やすくなります。
意識レベルの低い患者さん、認知症患者さん、心臓や肺の疾患で呼吸状態が悪い患者さんでは、
息止めが不十分になりやすいので注意しましょう。
冠動脈の高度石灰化
↓冠動脈の高度石灰化例
冠動脈の高度石灰化は、冠動脈CTによる血管内腔の狭窄度評価を困難にする要素の一つです。
冠動脈の石灰化パターンによっては、冠動脈カルシウムスコアの数値上高度石灰化に属する値でも血管内腔の
狭窄度評価が可能な例もありますが、多くは画質が低下してしまいます。
冠動脈CT 撮影の準備

冠動脈CTは、迅速、簡便に冠動脈を撮影できる検査ですが、
検査実施前の準備にはいくつかの注意点があります。
造影剤注射ルートの準備
冠動脈CTでは右腕の静脈(尺側皮静脈、橈側皮静脈)に
20G以上の太さの注射針でルート確保します。
冠動脈CTは造影剤の注入を比較的高速・高圧で行いますので
20Gを下回る太さでは注射時に圧リミッターが作動して
撮影が成立しなくなる可能性があります。
また、左腕から造影剤を注入すると左鎖骨下静脈付近の
生理的狭窄部位による圧上昇から造影剤が滞留し、画像の
アーチファクトの原因になったり、内頚静脈に
造影剤が逆流することで心臓への造影遅延が起こり、画質低下の
原因になることが考えられます。
点滴ルートの管は耐圧チューブを使用します。
検査の同意書
簡便で多用される検査だけに軽視されがちですが、
冠動脈CTはヨード造影剤を使用するX線検査の1種であり、
造影剤アレルギーの既往の確認、初めての造影検査であれば、
アレルギー発症の可能性、腎機能低下例についても、検査の必要性
に関する十分な説明、X線被ばくは低被ばく検査がかなりできるように
なってきた昨今ですが、撮影する内容によってはある程度ありますので
X線被ばくに関する十分な説明と同意を得ておくことは基本となります。
また、糖尿病患者さんにおいては、服用を中止すべき内服薬の周知、
検査前に食事をしないように周知するなど、事前に説明すべき内容は
十分に確認しておきましょう。
関連ページ
- 心臓CT 冠動脈以外の検査
- 心臓CT・冠動脈CTについての 医学生・研修医向けの解説です。
